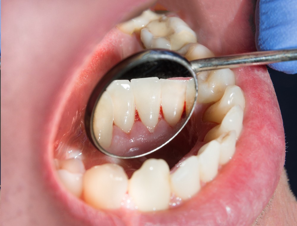
Atunci când ne concentrăm asupra sănătății noastre orale, este ușor să uităm ce rol important joacă gingiile noastre.
Cu toate acestea, dacă ai suferit de parodontoză avansată, ai conștientizat, poate pentru prima dată, cât de importantă este sănătatea gingiilor.
Știm că este o situație foarte îngrijorătoare în care să te regăsești, mai ales dacă ai pierdut deja unul sau mai mulți dinți din cauza bolii parodontale. Probabil că ești îngrijorat de pierderea mai multor dinți și este posibil să nu știi care trebuie să fie următorul tău pas sau la ce să te aștepți de la tratamentul tău.
Din fericire, există speranță. Cu un tratament prompt, poți preveni daune suplimentare și poți restaura estetica zâmbetului tău. Pe măsură ce începi să iei măsuri pentru a-ți revendica atât sănătatea gingiei, cât și zâmbetul, îți vei recăpăta încrederea în tine.



